Skip to main content
external news
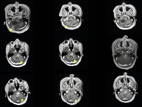
Ultrasound Opens New Front Against Lethal Brain Cancer in Kids Opening the blood-brain barrier may lead to better drug delivery
Status
-
Workflow status:
Published
-
Created by:
hashcraft6
-
Created:
02/16/2026
-
Modified By:
hashcraft6
-
Modified:
02/17/2026